Фрактура на радиус и улна при той породи: Причини, симптоми и лечение

13 яну 2025

Фрактура на радиус и улна при той породи: Причини, симптоми и лечение

Малките породи кучета, особено той породите като Чихуахуа, Йоркширски териер и Померан, често се...

Прочети
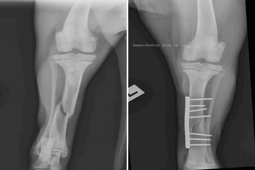
Фрактура на тибия при домашни любимци: Симптоми, лечение и възстановяване

13 яну 2025

Фрактура на тибия при домашни любимци: Симптоми, лечение и възстановяване

Фрактурата на тибията (големия пищял) е едно от най-често срещаните наранявания при кучета и котк...

Прочети
TPLO ТПЛО Ефективно лечение за скъсана предна кръстна връзка при кучета

15 авг 2024

TPLO ТПЛО Ефективно лечение за скъсана предна кръстна връзка при кучета

Въведение ТПЛО / TPLO (Tibial Plateau Leveling Osteotomy) е една от най-ефективните...

Прочети
Скъсана предна кръстна връзка на колянната става при кучета

23 юли 2024

Скъсана предна кръстна връзка на колянната става при кучета

<span style="font-family: -apple-system, BlinkMacSystemFont, 'Segoe UI', Roboto, Oxygen, Ubuntu,...

Прочети
д-р Калоян Войчев
Бот: Здравейте! Как можем да ви помогнем?